整形外科初期研修レジデント後記 橋本 勝也
2014年4月の1ヶ月間、当院整形外科にて研修をさせて頂きました。
当院研修では整形外科は選択科である。数ある科のなかで整形外科を選択した最大の理由は、当直帯にて対応する外傷の大半が整形外科領域であると1年間の夜間当直を通じて実感したためでした。当直帯外傷患者様への初期対応を的確に行う力を身につけたいという思いと、外傷・骨折患者様に対応した際に、入院適応・術式・入院後の経過などイメージでき患者様へ説明できる必要があると思い、研修を通じてそういった面を学ぶことを目的に整形外科研修を選択しました。当院整形外科は、創外固定・人工関節・関節鏡視下手術・腫瘍摘出などと幅広い疾患を扱える医師がいるため、当初予定していた以上のことを学ぶことができました。実際にガンマネイルなどは数回オペレーターをやらせて頂きました。
また、整形外科病棟は非常にシステムが確立されており、病棟のシステム作りという面でも学ぶことがありました。指導医の先生方は熱血感溢れる先生方ばかりで、1ヶ月と短い期間にも関わらず熱い指導をして頂きました。感謝の念に尽きません。今後、いち医師として医療に携わっていく中、当院整形外科での研修は大きな糧になったと実感しています。
平成25年度臨床研修医 橋本 勝也
足関節関節内粉砕骨折(Muller AO分類43-C3、ピロン骨折:Ruedi分類gradeⅢ)に対して、創外固定術施行後に観血的整復固定術(以下、ORIF)と骨移植術を施行した症例
症例報告
46歳男性、既往歴特記すべき事項なし。バイクを20~30km/hで運転中に乗用車の側面に接触して転倒受傷し、当院救急外来に搬送となった。
身体所見
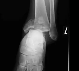
左足関節に変形と内側に著しい腫脹・圧痛を認めた。単純レントゲン像(左下腿正面像)で左脛骨関節内骨折と関節軟骨の陥没所見を認め、CTにて脛骨関節面は粉砕し、脛骨天蓋部の骨軟骨片は20mm程度中枢へ転位していた(Muller AO分類43-C3、ピロン骨折:Ruedi分類gradeⅢ)。
検査所見
WBC 9210/μl、RBC 358万/μl、Hb 11.9g/dl、Ht 34.9%、Plt 16.2万/μl、CRP 3.95mg/dl、AST 19 IU/l、ALT 16 IU/l、LDH 180 IU/l、ALP 167 IU/l、TP 5.9g/dl、ALB 3.8g/dl、T-Bil 0.9mg/dl、BUN 10.3mg/dl、Cre 0.74mg/dl、Na 138mEq/l、K 4.1mEq/l、Cl 109mEq/l、BS 117mg/dl、PT% 90%、PT-INR 1.05、APTT 26.6秒
考察
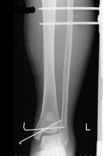
本症例は受傷直後に軟部組織の損傷を強く認め(足関節周囲は軟部組織が非常に薄い)、一期的なORIFは困難な状態であった。本症例のように軟部組織の損傷を強く認める状態でのORIFは感染、皮膚壊死といった問題が生じる危険性がある。そのため、軟部組織の回復まで一時的に鋼線牽引療法(traction)や創外固定術を施行し、軟部組織の炎症・腫脹が回復してきた後にORIF(two stage surgery)を施行する。
創外固定は、Ligamentotaxisにより骨折部や関節面の間接的整復と軟部組織の早期回復のためにtwo stage surgeryに頻用される。
Ligamentotaxis:伸延力(distraction forces)を加えることにより骨折部周囲の靱帯や筋肉に張力が働き、骨折部を間接的に整復することである。
創外固定法は、Ⅰ.開放骨折、Ⅱ.皮下骨折、Ⅲ.多発外傷、Ⅳ.関節内骨折、Ⅴ.骨または軟部組織の欠損、Ⅵ.創外固定を用いた間接的整復、などに用いられる。利点は、①骨の血流を温存できる、②軟部組織への障害が少ない、③手技が簡便で時間がかからない、④間接的整復と整復位の調整が可能、⑤感染巣や汚染創を介さずにスクリューを挿入し整復固定できる、⑥骨延長と変形の矯正が可能、などが挙げられる。
短所・注意点は、①スクリュー刺入部の感染、②フレームが煩わしく整容上の問題、③スクリュー刺入孔を通じた骨折、④創外固定除去後の再骨折、⑤神経血管刺貫、⑥筋または腱刺貫、⑦遷延治療、⑧区画症候群、⑨装置が高価、⑩コンプライアンスの悪い患者では器具調整が困難、などがある。
本症例はAO分類type43C3骨折で、骨関節組織と軟部組織の治療が重要である。
関節内骨折の治療目標は、完全な関節面の再建と骨片間の圧迫により受傷前の状態に機能を戻すことである。そのためORIFを行うが、軟部腫脹が著しく早期にORIFを施行できない場合には創外固定術を施行する。本症例も腫脹が著しく、感染や皮膚壊死の危険があり創外固定術を行った。創外固定術は軟部組織保護のための一時的な処置で、通常1~2週間後に最終的なORIFを行い、本症例も創外固定術後14日目にORIFを施行した。
骨癒合には一次骨癒合(primary bone healing)と二次骨癒合(secondary bone healing)がある。一次骨癒合は骨折部を正確に整復し、圧迫固定を施行した場合に仮骨を形成せずに接触した骨同士がハバース管による生理的骨改変により骨形成が生じて癒合する現象である。二次骨癒合は外骨膜や血腫による軟骨や骨組織の修復で、自己再生self renewal現象の1つである。骨再生能力は若年ほど高く、加齢により低下し、骨芽細胞、骨髄未分化細胞、成長因子などが関与している。骨膜による骨形成を「膜性骨化」、軟骨細胞による骨形成を「内軟骨性骨化」という。骨の血流の多くは骨膜に依存し、骨膜を損傷すると骨形成は不良となる。手術中に骨膜を必要以上に剥離すると骨折部の血流を阻害する。粉砕骨折や開放骨折は骨折部の血流が不良なため二次骨癒合による治療を計画し、LCPは骨折部の角度安定性と血流温存に優れているため頻用される。
骨欠損部分を補う手段として、自分の骨を使う「自家骨移植」、他者の骨を使う「他家骨移植」、人工物で補う「人工骨移植」があり、自家骨移植は生体適合性と吸収置換性が最も高い。本症例も関節軟骨と関節部前方の骨皮質に大きな欠損を認め、自家骨移植術を施行した。
ORIF後20日ほど経過しているが、今後はリハビリを通して関節面の再建、骨移植術の成功を評価していく。




