口腔がんについて
目次
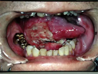
口腔がんの種類には次のようなものがあります
- 癌腫(がんしゅ)
舌がん、歯肉がん、唾液腺がん、など - 肉腫(にくしゅ)
顎骨の骨肉腫、顎関節の軟骨肉腫、横紋筋肉腫、など - 造血器の悪性腫瘍
首や顎骨内の悪性リンパ腫、白血病による歯肉出血や歯肉炎
口腔がんの部位と割合(口腔がんは全身のがんの5%未満)
1位 舌がん・・・約60%
2位 歯肉がん
3位 口底がん
3位 頬粘膜がん
3位 口蓋、後臼歯部がん
6位 口唇がん
7位 その他
中咽頭(ちゅういんとう)のがん
唾液腺(だえきせん)のがん


該当する方は口腔がんにご注意ください
- 男性の方(男女比は約2:1と男性に多い)
- 50〜60歳代の方
- アルコールとタバコの嗜好がある方
- 口腔内の衛生状態の不良の方
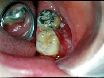
- 虫歯のある方(鋭端(とがった部分)の刺激と関係アリ?)
- 入れ歯や差し歯のある方(不良な入れ歯や差し歯の刺激と関係アリ?)
現在では、遺伝子レベルの研究も行われています。
このような方は受診してください〜前がん病変と呼ばれています
- 白板症(はくばんしょう)
- 紅板症(こうばんしょう)

口腔がんの自覚症状
- 一般的に疼痛(いたみ)はない
- 違和感や接触痛
- 神経が圧迫されると、疼痛や麻痺がでる



口腔がんの治療方針
- 手術(外科的治療)
- 放射線治療
- 化学療法(抗がん剤治療)
- ↑を組み合わせた併用治療
- 温熱療法
- 免疫療法
- (遺伝子治療)
基本的には手術することを第一に考えます。
- 頚部郭清術(首のリンパ節のお掃除)
- 腫瘍切除
- 再建手術(マイクロサージャリー)