整形外科初期研修レジデント後記 島 裕樹
当院整形外科で1か月間研修させていただきました。当院では当直中などで外傷の患者対応をすることも多く、骨折などの画像診断やシーネ固定などの処置などを学びたく思い、選択での研修を希望しました。また、整形外科的疾患をもった患者は増加していくと思われるので、今後診療を続けていく中で整形外科的知識は必要だと考えたことも一つです。朝の回診では術後の処置に携わり、毎日行われる手術でも手技の一つ一つに関して理論的に説明して頂きながら参加しました。整形外科の先生方には個人のために時間を割いて講義してくださったり、私自身は内科希望なのですが、手術を実際に何件かオペレーターさせて頂いたこともあったりと、1か月という短い時間ながら熱心に指導して頂き感謝の念が尽きません。この1か月で経験したことを今後の診療に生かしていきたいと思います。
平成27年度臨床研修医 島 裕樹
症例
62歳 女性
主訴
転倒、打撲
現病歴
歩行時に右に曲がってきた自転車と接触。左側に転倒し、左肘、両膝を打撲し腫脹認めたため救急要請となった。
既往歴
高血圧、糖尿病
身体所見
左肘:腫脹著明、屈曲困難、両膝擦過傷軽度
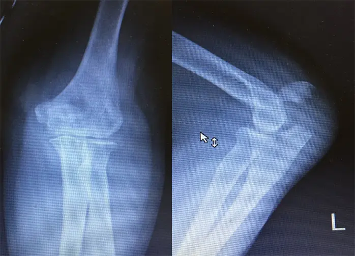
左肘レントゲン
左肘頭骨折認める(Muller AO分類21-C1)

血液検査
CRP0.28mg/dl,AST30U/l,ALT35U/l,TP7.6g/dl,ALB4.5g/dl,BS227mg/dl,HbA1c7.7%
手術記録
骨折部直上で皮切。骨折部展開し、整復阻害となっている血種を除去。平ノミを遠位骨片の骨折部に入れ、関節面を挙上。人口骨オスフェリオンを楔状にして打ち込んで整復とした。単鋭鉤で両骨片間を整復しつつ2.0mm K-wire2本挿入。その後fiber wireと0.97mm軟鋼線でTBW固定とした。固定制良好であることを確認し、洗浄、閉創、終了とした。

考察
本症例は肘頭骨折、Muller AO分類21-C1と診断される。関節内骨折では肘頭骨折の治療で重要なのは、重力を排除した状態で肘関節の自動進展運動ができるか否かである。今回は鈎状突起より近医の単純骨折であり8の字型テンションバンド法で固定することとなった。テンションバンドとは対側皮質骨にかかった張力を圧迫力に変換することである。ワイヤーループによるテンションバンドの原理は、膝蓋骨と肘頭の関節内骨折に広く用いられ、骨折の関節側で筋力由来の張力を圧迫力に変換している。加えて小さな裂離骨折もテンションバンド固定原理が有効である。本症例のような肘頭骨折の場合では、テンションバンドのループは尺骨近位に開けた2mmのドリル孔を通し、上腕骨近位部ではスクリューヘッドがアンカーの役割を果たしている。注意点としてはインプラントの折損である。純粋に張力のみが作用した場合はワイヤーは十分な強度があるが、屈曲応力が加わると金属疲労によりすぐ破損するからである。
本症例は血糖値>200と血糖コントロール不良を認めていたため、インスリン治療行いつつの加療となった。手術当日でも200前後の血糖値認めるも、感染のリスクを説明の上手術施行。術後1日で38度台の発熱を認めCTRX投与を行った。抗生剤投与により炎症は改善し、リハビリを進めた。術後2週間の時点で肩関節屈曲170°、肘関節屈曲125°、伸展―20°、前腕回内85°、回外85°となり経過良好であったため退院となった。
