整形外科

整形外科初期研修レジデント後記 髙田 直和

私は将来、国境なき医師団に所属することも視野に、整形外科的疾患の初期対応・診断・治療方針・手術を学ぶことを希望し、研修させて頂くことになりました。上級医の手厚い御指導を受けると共に、日々のレクチャーで深い知識を得ることができました。その結果、整形外科での研修生活はとても楽しく、充実した期間となったことに大変感謝しております。

ただ、何よりも収穫であったのが、メンターとなる先生方に出会えたことです。初期研修期間に今後の医師像に影響するような、お手本となるメンターの先生に出会うことがとても重要であると考えます。そのような先生方とお会いできるかどうかは巡りあわせだと思いますが、千葉西総合病院での整形外科の優秀な先生方と出会えた事にとても嬉しく思います。患者さんに対し十分に優しい説明や診察、チーム医療としてのコメディカルへの配慮、そして自分の部下にあたる医師への手厚い指導、これらを実際に経験できたことは何よりも代えがたい宝物であると思います。自分は外科・心臓血管外科へと進む予定ですが、増井部長が日々おっしゃった「手術はイメージ」という御言葉、忘れずに先生方のような上手な手術ができるよう精進していきたいと思います。短い間でしたが、本当にありがとうございました。

平成27年度臨床研修医 髙田 直和

人工骨頭置換術における下双子筋近位の 外旋筋群温存後方アプローチについて

はじめに

大腿骨頚部骨折に対する人工骨頭置換術後の骨頭脱臼は、一度脱臼すると再脱臼を繰り返し治療に難渋する。しかしながら大腿骨頚部骨折は高齢者での発生率が高いため、認知症を合併していることが多く、術後脱臼肢位の指導が困難であることが少なくない。今回、術後の後方脱臼リスクを軽減するため、下双子筋より近位の外旋筋群を温存する後方アプローチと外閉鎖筋・関節包の修復を行う術式を経験したので報告する。

症 例

症例提示

88歳女性。既往歴に30年前子宮癌で子宮全摘術、両側付属器摘除術,、術後放射線療法も施行され、2年前に狭心症を指摘された方。入院6日前に自宅内でつまづき転倒し受傷。その後左大腿痛増悪あり、当院整形外科外来受診。左大腿骨頸部骨折の診断にて同日当科入院となった。

身体所見

初診時、右下腿の腫脹、疼痛を認めた。足趾の知覚、運動に問題は無く、足背動脈は触知可能で、コンパートメント症候群を疑う明らかな所見を認めなかった。

検査所見

術前検査は特記異常所見を認めない。

画像所見

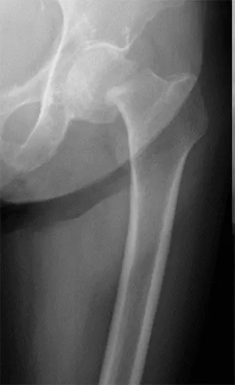
単純X線検査にて右大腿骨頸部骨折の所見(AO分類 31B)を認めた。

手 術

入院して6日後に手術を施行。
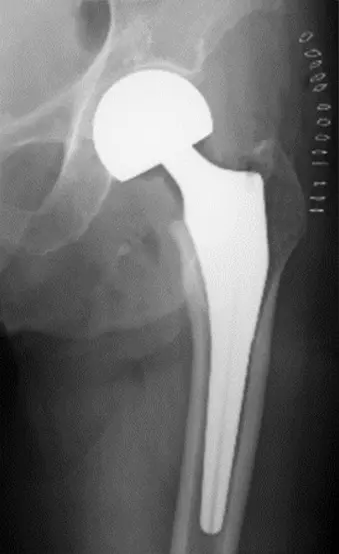
側臥位にて骨板固定器にて体位を固定し、股関節後方アプローチを施行。大腿方形筋近位を1/3~1/2程度切離し、下双子筋と大腿方形筋間を確認したうえ、下双子筋より近位の外旋筋群(下双子筋、内閉鎖筋、上双子筋および梨状筋)を近位へレトラクトする。外閉鎖筋を切離し、下双子筋よりやや近位で下双子筋と平行に関節包、坐骨大腿靭帯を切開する。関節包、坐骨大腿靭帯を切開した後に骨頭を抜去し、骨幹部を小転子より1横指近位で骨切りし髄腔をラスピングしたうえで、人工骨頭トライアルならびにインプラント(Cup 44mm, Stem size6, Neck +3mm)を挿入。試験整復を行い、屈曲60度・内旋90度で脱臼せず、90度 内旋90度で脱臼しない事を確認。創内を十分に洗浄後、外閉鎖筋腱と関節包をファイバーワイヤーにて大腿骨に強固に縫合し、閉創。

図1 下双子筋・大腿方形筋間を確認
図2 下双子筋含む共同筋腱をレトラクト
図3 共同腱筋で覆われている骨頭
図4 外閉鎖筋腱と下方関節包を大腿骨に縫合

術後経過

術後2日目より車椅子移乗訓練を開始。右下肢は僅かに拳上可能でステップには至らず解除要す状態であったが、術後4日目からはステップ可能、平行棒内歩行訓練も疼痛自制内で可能。術後4か月の現在、全荷重歩行中で脱臼も認めていない。

図3 共同腱筋で覆われている骨頭
図4 外閉鎖筋腱と下方関節包を大腿骨に縫合

考 察

股関節直外側アプローチは、中殿筋の前方成分を大転子から剥離し前方から関節内に侵入する方法で、脱臼のリスクが少ない長所を有するが、外転筋群の再建を要するため手術時間が長くなること、大腿骨側の操作がやや困難であること、股関節外転筋力の低下の可能性があることなどが問題となる。一方股関節後方アプローチは、大転子後方から関節内に侵入する方法であり、大腿骨近位の展開が容易であるため、大腿骨頚部骨折に対する人工骨頭置換術において広く行われているアプローチである。長所としては展開が迅速であること、大腿骨側の操作が簡便であること、股関節外転筋を損傷しないことが挙げられるが、術後後方脱臼、術中坐骨神経損傷が問題となる。特に後方脱臼は一度脱臼すると整復困難で、50%で再手術が必要となるとの報告もある。

日本整形外科学会の大腿骨頚部骨折のガイドラインによれば、人工骨頭置換術後の脱臼率は2~7%であり、後方アプローチで発生しやすいとの記載がある。後方アプローチでの後方脱臼は、認知症や精神疾患など患者側の要因が主であるとの意見もあり、高齢者がすすむにつれて認知症症例は避けては通れず、より脱臼率の少ないアプローチが望ましいと考える。

これまで当院では、下双子筋より近位の外旋筋群を温存する手技へと改良を行ってきた。本改良により大腿方形筋の近位1/3~1/2程度、関節包、外閉鎖筋を切離することで下双子筋より近位の外旋筋群を切離せずに骨頭整復に十分なworking spaceを股関節下方に確保でき、さらに関節包と坐骨大腿靭帯を下双子筋下縁に沿って切開することで、後方脱臼の強力な防御要素である坐骨大腿靭帯を温存することが可能となった。殿筋群・外旋筋群筋腹が大きい症例は整復操作にやや難渋することがあったが、下方への十分な牽引に加えて、術者が骨頭を前下方へ押し出すことで、比較的容易に整復が可能となった。本術式は術中迅速性、術中安定性に優れ、術後脱臼を認めなかったことから、有用な術式といえる。