後期研修レジデントレポート (齊藤 雅人) 【症例1】
足関節脱臼骨折(Müller AO分類44-B3)と
踵骨アキレス腱付着部裂離骨折を同時に生じた1例
症例
65歳女性、既往歴に特記すべき事なし。2013年6月15日、自宅の階段を昇っている時に左足を踏み外し、足尖部を段にひっかけて足関節が過背屈位を取った状態で接地、足関節を内旋する形で転倒受傷したため、6月18日に当科を受診した。初診時、足関節周囲に著しい腫脹と水疱形成を認め、Thompson testは陽性であった。単純レントゲン像(図1)にて足関節内外果、脛骨天蓋部、踵骨アキレス腱付着部に骨折(Müller AO分類44-B3、Lauge-Hansen分類PA型StageⅢ亜型)を認めた。CT(図2)では内外果の骨折に加えて、脛骨天蓋部に陥没骨折(step off 5mm)と踵骨アキレス腱付着部裂離骨折(1.5cm転位)を認めた。
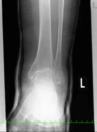
(図1)単純レントゲン像




足関節内外果、脛骨天蓋部に骨折と踵骨アキレス腱付着部より1.5cm近位に骨片を認める。
(図2)CT



足関節内外果骨折、脛骨天蓋部に5mmのstep offを伴う陥没骨折と踵骨アキレス腱付着部より1.5cm近位に骨片を認める。
検査所見
血液生化学検査
WBC 94.4×102 /μl、RBC 429×104 /μl、Hb 13.0 g/dl、Ht 38.9 %、MCV 90.7 fl、MCH 30.3 pg、MCHC 33.4 %、Plt 27.9×104/μl 、CRP 1.44 IU/l、AST 28 IU/l、 ALT 27 IU/l、ALP 388 IU/l、TP 7.4 g/dl、Alb 4.4 g/dl、T.Bil 1.1 mg/dl、BUN 22.1 mg/dl、Cre 0.5 mg/dl、Na 141 mEq/l、K 4.0 mEq/l、Cl 110 mEq/l、Ca 9.1 mg/dl、IP 4.3 mg/dl、BS 117 mg/dl、BAP(骨型ALP) 28.6 μg/l、血清NTx 33.2 nMBCE/l
骨塩定量:YAM
腰椎(L1-L4):70%、大腿骨頚部:63%
手術
受傷12日目に腹臥位にて手術(手術時間:180分)を施行した(図3)。内果骨折に対しては経皮的に4.5mm cancellus screw2本を挿入、外果骨折はMIPO法に準じ1/3円プレートにて固定した。次にアキレス腱後外側に径10cm程の縦皮切を加え、脛骨後面を露出した後に関節面より3cm近位側を1x2cm程開窓した。イメージ下に脛骨天蓋部関節面を整復しオスフェリオンを骨欠損部に充填、cancellus screw2本にて固定した(図4)。踵骨アキレス腱付着部裂離骨折は、裂離骨片を4.5mmスパイクワッシャー付cancellus screwで固定し、さらにLeeds-Keio人工靭帯をアキレス腱に縫合、踵骨に開けた骨穴に通して補強した(図5)。

(図4)術中写真


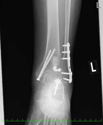
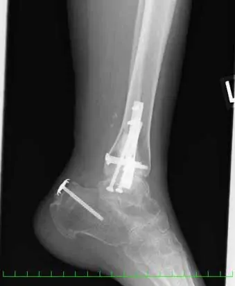
(図5)術後X線像


脛骨内果はcancellus screw2本、腓骨外果は1/3円プレート、脛骨天蓋部は骨欠損部にオスフェリオンを充填し、cancellus screw2本にて固定している。踵骨裂離骨片はスパイクワッシャー付cancellus screwにて固定し、Leeds-Keio人工靭帯にて補強している。
後療法
術後は下腿足尖ギプスを施行、2週でギプスカットし可動域訓練を開始、脛骨天蓋部骨折があるため4週より部分荷重、6週で全荷重を行った。術後8週の現在、可動域は底屈50°、背屈0°、全荷重歩行中である(図5)。
考察
踵骨アキレス腱付着部裂離骨折は踵骨骨折の中でも比較的稀な骨折で諸家の報告では全踵骨骨折の0.5%~6.45%程度の頻度とされ、本症例はBöhler分類1c型であった。
踵骨アキレス腱付着部裂離骨折の受傷機序については直達外力あるいは下腿三頭筋の牽引力などが報告されている。本症例は階段を昇っている際に足尖部が階段に引っかかる形で踏み外して足関節が過背屈位となり、さらに下腿三頭筋の強い牽引力により生じたものと思われた。その後、接地により脛骨遠位端関節面に強い軸圧が加わったため脛骨天蓋部骨折を生じ、転倒時に足関節が回内-外転位となることにより足関節脱臼骨折が合併したものと推察された。
踵骨裂離骨折の発生素因については骨粗鬆症、肝機能障害、糖尿病、慢性腎不全などによる骨の脆弱性やアキレス腱の高位付着などの素因が報告され、本症例は血中NTx:35.5nMBCE/l、YAMが腰椎70%、大腿骨頚部63%であったことから骨の脆弱性に加えて、不意の下腿三頭筋の強力な牽引力により生じたものと推察された。
治療方法については足関節果部、脛骨天蓋部骨折、踵骨アキレス腱付着部裂離骨折の整復固定が必要なため長時間の手術、術後の腫脹が予測され、腹臥位にて一期的に手術を行った。
踵骨裂離骨折の固定法としてはcancellus screw固定やtension band wiring法、suture anchor固定やLCPを用いた方法などの報告がある。本症例は骨片のスクリュー穿破の危険性回避のためにスパイクワッシャー付cancellus screw固定を施行し、さらに骨脆弱性によるscrewのバックアウトの危険性、早期可動域・荷重歩行訓練のためにLeeds-Keio人工靭帯による補強を施行した。踵骨アキレス腱付着部周囲の軟部組織は非常に薄く局所の循環障害による皮膚壊死がしばしば問題となり、内固定材を使用する際は軟部組織の剥離は必要最小限にすることが重要と考えられた。