後期研修レジデントレポート (齊藤 雅人) 【症例2】
大腿骨頚部骨折(Garden 3型)に対して
人工骨頭置換術を施行した1例
症例
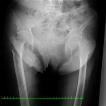
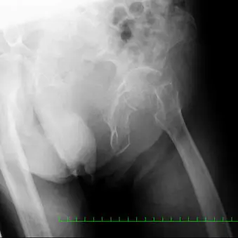
89歳女性。自宅にて歩行中に転倒受傷し、当院の救急外来へ搬送された。来院時の股関節単純エックス線像(図1)において左大腿骨頚部骨折(Garden3型、Müller AO分類31-B2)を認め、手術施行目的にて当科入院となった。受傷前のADLは杖を使用して独歩可能であった。既往歴は高血圧、高脂血症、アルツハイマー型認知症。また入院時諸検査において特記すべき事項はなかった。
(図1)単純レントゲン像


手術
使用器械
Stryker社製
ステム:ACCOLADEⅡ(サイズ#1、頚体角127°)
バイポーラカップ:Centrax Bipolar System 42mm(ネック長+3mm)
術中所見
受傷9日目、手術(人工骨頭置換術)を施行した。
右側臥位とし骨盤固定器にて固定した。Mooreの皮切を用いて股関節後方よりアプローチした。
梨状筋、上下双子筋、内閉鎖筋、外閉鎖筋を大転子付着部で切離。関節包をL字切開し、骨頭を抜去した。骨頭は実測で42mm、またトライアルでも安定性が良好であることを確認し、同サイズで決定した。股関節屈曲内旋位にて骨折部を展開し、頚部を小転子より約小指1横指近位、梨状窩から15mm遠位の位置で骨切りした。骨切り部外側をボックスノミで削り、髄腔をスターターリーマーでリーミング後、ラスピングした。ステムサイズは#1で予定通りの高位で良好なフィットが得られた。カルカーリーマーで骨切り部を平坦にした。骨頭装着後整復した後、股関節伸展位、屈曲位で下肢を牽引して股関節の安定性を確認した。十分な洗浄の後、同サイズにてインプラントを挿入した。
関節後方のrepairに関しては、ファイバーワイヤーを用いて関節包を縫合。切離した外旋筋群をファイバーワイヤーを用いて大転子部に縫着した。その後、大腿筋膜を0PDSで、皮下を2-0PDSで縫合、皮膚をステイプラーで閉創し終了とした。
後療法
荷重制限はなく、術後2日で車椅子乗車、術後3日で歩行訓練開始とした。
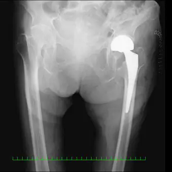
術後単純レントゲン像

考察
人工骨頭挿入術の際に用いられるアプローチには種々のものがあるが、一般的に前方あるいは後方アプローチが用いられることが多い。1981年のSikorskiらによると、両アプローチ間に大差はないものの、尿路感染、心不全、肺炎に関しては前方が有利、移動能力、術後1か月での疼痛に関しては後方が有利であると報告している。また、術後脱臼の発症率に関しては、前方アプローチが有利であるとされているが、後方アプローチにおいても外旋筋群の修復により、脱臼率を大幅に減少でき、かつ大腿骨へのアプローチが容易であるため選択されることが多い。今回、後方アプローチを選択したため、術後の脱臼予防のために、ファイバーワイヤーを用いて関節包、外旋筋群の十分な修復を行った。
使用器械について、人工骨頭挿入術では様々な種類のインプラントが選択される。以下に大腿骨ステムの分類と、それぞれのコンセプト及びメリット、デメリットを記載する。
1.セメントレスステム
メリット セメント使用によるリスクがない。手術時間の短縮が出来る。Bone ingrowthの獲得により、安定した長期の固定が期待出来る。
デメリット ステム周辺での骨折のリスクが上昇する。十分なボーンストックが必要。ポーラスコーティング部での確実なフィットが必要。
①テーパーウェッジタイプ
Ex)Accolade(Stryker)、OVATION(MDM)、Taperloc(Biomet)
コンセプト 薄型でテーパー型の形状により内外側の近位骨皮質で固定
メリット 骨温存が可能。手技のステップが少ない。良好な長期成績がある。
②フィット&フィルタイプ(ストレートタイプ)
Ex)Super Secure Fit(Stryker)、Primaloc(MDM)
コンセプト 髄腔占拠型(AP、ML共に髄腔をしっかり削りフィット&フィルさせる)。近位固定。
メリット 術中に必要に応じて、セメントを使用することが出来る。
③ツヴァイミューラータイプ
Ex)Alloclassic(Zimmer)、MIA(smith&nephew)
コンセプト 箱型、薄型で遠位骨皮質で固定。
メリット 遠位固定のため近位の骨形態に大きく左右されない。
④アナトミカルタイプ
Ex)CentPillar(Stryker)
コンセプト 髄腔の形状に基づき設計。前捻、前弯、左右別がある。
メリット 日本人の髄腔(細く短い)にフィットしやすいと考えられる。
デメリット ステムの選択が困難かつ習熟を要する。
⑤モジュラータイプ
Ex)S-ROM(Depuy)、Restoration Modular(Stryker)
コンセプト 遠位と近位パーツで組み立て式。
メリット 様々な骨形態に対応出来る。
デメリット 術中の操作が煩雑である。ジョイント部でのトラブルの可能性。
2.セメントステム
メリット 骨形態を選ばない幅広い適応。術中の骨折リスクの低減。術後の疼痛の軽減。
デメリット セメント使用中の血行動態悪化のリスク。
①ポリッシュタイプ
Ex)Exeter(Stryker)、C-stem(DePuy)
コンセプト ポリッシュ、テーパー、カラーレスにより、セメント-ステム界面でのスリッピングを起こし、良好な固定を得る。
メリット 良好な長期成績。幅広い適応がある。