脳出血
脳出血とは
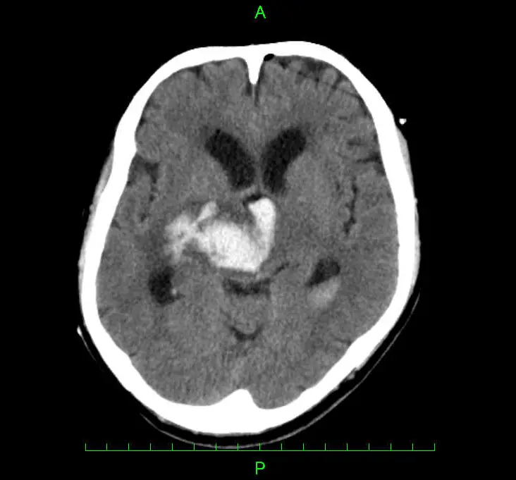
大脳や小脳、脳幹といった脳そのものの中で出血が起こり血腫(血のかたまり)ができることを脳出血(脳内出血)と言います。原因はほとんどが高血圧によるものですが、脳動脈瘤や脳動静脈奇形、脳腫瘍などによる場合もあります。出血が起きた脳の部位により大きく5つ(視床出血・被殻出血・小脳出血・脳幹出血・皮質下出血)に分類され、それぞれ異なる症状が出現します。なお、くも膜下出血は脳の外(表面)で出血が起きる病態のため、別のものとして分類されます。

症状
突然の吐き気、激しい頭痛に加えて出血部位により異なる症状が現れます。
出血部位による主な症状
被殻出血・視床出血 | 麻痺や感覚低下 |
---|---|
脳幹(橋)出血 | 意識障害 |
小脳出血 | めまい症状やふらつき症状 |
検査
主に頭部CT検査を用います。CT検査で脳出血と診断された場合は、出血原因の特定等を目的にMRI検査や造影検査などを行う場合があります。

治療
主として血腫の大きさにより治療方針は決定されます。血腫が小さく生命の危険がなければ点滴や内服などの内科的治療にて経過観察を行います。この場合はリハビリテーションによる機能訓練も併せて実施します。血腫が大きく生命にかかわる場合や出血が止まらない場合、出血した箇所が再度出血を起こす可能性が高い場合は手術が行われます。手術には開頭手術、もしくは小さな孔から行う定位脳手術があります。なお、手術は原則として救命を目的に行われるものであり、残念ながら血腫を取り除いてもダメージを受けた脳の部位の機能回復は望めません。
定位脳手術の様子

血腫吸引(A) 手術装置(B) 術前(C) 術後(D)
当科の脳出血(脳卒中)治療の特長
当科の脳出血(脳卒中)治療の特長は以下の通りです
- 国内最大規模となる26床のSCU(脳卒中集中治療室)にて専門的な治療、ケアを実施しています
- 24時間365日、常に医師が常駐し、いつでも手術を含む緊急対応が可能な体制をとっています
- MSN(松戸脳卒中ネットワーク)の中核病院として地域の他施設や救急隊と連携をとった脳卒中対応を行っています
- 各種低侵襲治療(身体に優しい治療)を積極的に取り入れています
- 日本脳卒中学会より一次脳卒中センター(PSC)の認定を受けた施設です
お問い合わせ
患者様
当院脳神経外科外来にお越しください。
脳神経外科外来 | 月曜日~土曜日(祝日除く) |
---|
現在、脳出血を疑う症状が出ている方はすぐに119番に電話して救急車を呼んでください!
他施設の方(患者様のご紹介ほか)
地域連携室までご連絡ください。
047-384-8564
月~金曜日 8:30-17:00/土曜日 8:30-12:30
この記事を書いた医師
熊井 潤一郎(くまい じゅんいちろう)
千葉西総合病院 副院長
脳神経外科主任部長