食道がん
食道がん(しょくどうがん)とは
食道がんは口と胃を繋ぐ食道の粘膜から発生するがんです。タイプとして扁平上皮がんと腺がんの2つに分かれ、日本国内では扁平上皮癌が大半を占めます。

症状
初期の自覚症状はほとんどありません。症状が出るのは病気が進行してからの場合がほとんどで、お食事の際に食べ物がつかえる感じがする、咳、胸や背中の痛み、体重減少、声のかすれなどが発生します。
検査
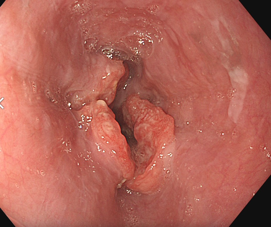
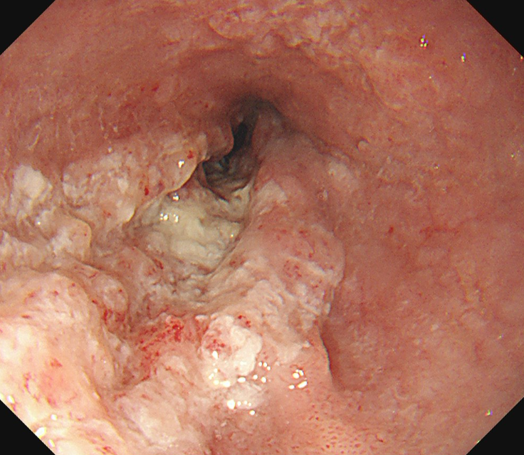
食道がんの検査は、がんかどうかを確定するための検査と確定された後に行う進行度を判断するための検査があります。まず確定するための検査としては、内視鏡(胃カメラ)で直接病変を観察する内視鏡検査が行われます。内視鏡で異常がみられる場合は組織を採取し、顕微鏡で観察する生検を行い診断が確定されます。
進行度を判断するための検査では、CT検査(PET/CT検査)、MRI検査、超音波内視鏡検査などを組み合わせて、がんの深さやリンパ節および周辺臓器への転移がないかを診断します。
内視鏡(胃カメラ)画像
PET/CT検査画像

治療
がんの切除が可能な場合は内視鏡治療(胃カメラによる切除)か外科手術となります。がんが粘膜内にとどまっている早期の段階であれば内視鏡治療が適応となります。より進行した場合は外科的手術を行います。化学療法(抗がん剤治療)は補助的に用いられるほか、化学療法と放射線治療を併用する化学放射線療法も行われます。
内視鏡的切除
口から挿入したスコープ(カメラ)でがんのある部位を切除します。おなかを切ることがないため、術後の痛みがほぼなく、入院期間も短かく済みます。がんが粘膜内にとどまっている場合のみ適応があり、それよりも進行している場合は手術をはじめとした他の治療が行われます。

手術による切除
がんのある部位を切除して繋ぐ(吻合)手術です。胸腔鏡手術が主流となっています。昨今では、手術支援ロボットを使用するロボット支援下手術(ロボット手術)も実施されています。ステージ2および3の患者様に対しては、術前化学療法を実施したうえで手術を行います。がんの部位や進行度、浸潤の範囲などにより、様々な術式が用いられますが、がんの根治(がんをとりきる)を前提としたうえで、なるべく患者様の身体に負担が軽い手術が行われます。
食道切除後の再建(胃管再建術)

手術支援ロボット Davinci Xi(ダヴィンチXi)

術中内視鏡画像(ダビンチ手術)

化学療法
化学療法のみでの根治は難しく、次にあげる目的で実施されます。
- 術前化学療法:手術でがんが取り切れる可能性を高める、微細な転移がんの縮小などを目的として、ステージ2および3の症例においては原則全例で行います
- 切除できない場合の化学療法:広がりが大きく手術ではがんをとりきることが難しい場合や再発がんに対して行います。
術前化学療法の例
治療前
治療後
免疫療法
免疫チェックポイント阻害薬であるニボルマム(製品名:オプジーボ)、ペムブロリズマブ(製品名:キイトルーダ)、イピリムマブ(製品名:ヤーボイ)を用いた治療が行われる場合があります。
化学放射線療法(CRT)
抗がん剤と放射線治療を組み合わせる治療法です。手術による切除が難しい、比較的ご高齢の患者様に対して多く実施されます。
当科の食道がん治療の特長
1.専門医によるチーム医療
がんセンター出身の経験豊富な医師がチームを組んで治療を担当しています。
2.専門資格保有医師による対応
日本内視鏡外科学会より食道分野の技術認定を取得した、食道のエキスパートといえる医師による診療を行います。
3.ロボット支援手術
全例を体への負担が軽い胸腔鏡手術またはロボット支援手術(ロボット手術)にて治療を行っています。
4.縫合不全率3%台の優れた手術成績
全国平均が約10%ある、術後の縫合不全発生率が当科では約3%と良い成績をあげています。
5.開胸既往の方にも可能な胸腔鏡手術
過去に開胸手術を行ったことのある方に対しても、胸腔鏡による手術を実施しています。
6.3大がん治療が揃う充実した施設
当院はがんの3大治療(手術療法、薬物療法、放射線治療)がすべて行える施設です。
7.高リスク患者にも積極対応
当院は心臓病患者様の診療を数多く行っているため血液サラサラのお薬を飲んでいる方が数多くおいでです。また、ご高齢な方も多く、そうした患者様に対する手術の経験を豊富に有しています。施設によっては手術が難しいと判断される症例でも、慎重な検討を加えたうえで、できる限り積極的な治療を行っています。
担当医師

小林 亮介 外科医長
日本外科学会 専門医
日本肝胆膵外科学会 高度技能専門医・評議員
日本消化器外科学会 専門医・指導医・消化器がん外科治療認定医
日本消化器内視鏡学会 専門医・指導医
日本食道学会 食道科認定医
日本膵臓学会 指導医
日本内視鏡外科学会 技術認定証(消化器・一般外科)
日本がん治療認定医機構 認定医
お問い合わせ
患者様
当院外科外来にお越しください。
| 外科外来 | 月曜日~土曜日(祝日除く) |
|---|
他施設の方(患者様のご紹介ほか)
地域連携室までご連絡ください。
047-384-8564
月~金曜日 8:30-17:00/土曜日 8:30-12:30




