脳梗塞
脳梗塞とは
脳梗塞(のうこうそく)とは、脳の血管がつまることにより脳にダメージが発生する病気の総称です。心臓や他の血管で出来た血栓(血のかたまり)が流れてきてつまる脳塞栓症や、動脈硬化により徐々に血管が狭くなって最終的に詰まる脳血栓症などがあります。血管がつまって血流が阻害されると、そこから先に栄養がいかなくなるため脳の組織に障害が発生します。脳のダメージは発症から数時間で発生し、早急に血流を再開させないと不可逆的な(元に戻らない)障害となるため、一刻も早い治療開始が極めて重要となります。

症状
脳梗塞が疑われる代表的な症状
以下の症状が突然、急に現れたら注意が必要です
- 左右片側だけの手足・顔半分の脱力・麻痺・しびれ(手足のみ、顔のみの場合もあります)
- ロレツが回らない、言葉が出ない、他人の言うことが理解できない
- 立てない、歩けない、フラフラする
- 片方の目が見えない、物が二つに見える、視野の半分が欠ける
- 経験したことのない激しい頭痛
検査
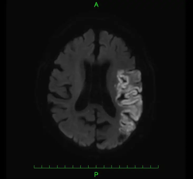
主に頭部MRI検査および頭部CT検査を用います。CTやMRIで脳梗塞と診断された場合は、原因の特定等を目的に心臓超音波検査や頸動脈超音波検査、心電図検査などを行います。

治療
点滴による血栓溶解療法(rt-PA)
発症から4.5時間以内の患者様に対して実施可能な治療です。静脈から血栓を溶かす作用のあるお薬(rt-PA/アルテプラーゼ)を点滴投与します。
カテーテルによる血栓回収
脳内の太い血管がつまる症例などでは、血栓溶解療法(rt-PA)は十分な結果が得られないことも多く、そうした場合に行われるのが血栓回収治療です。カテーテルと呼ばれる細い管を血管内に挿入し、血栓がつまっている箇所まで運びます。その後に、カテーテルを通じて治療機器を操作し、血栓を絡めとる、もしくは吸引して回収します。
左内頸動脈閉塞の治療例

カテーテル治療により回収された血栓

当科の脳梗塞(脳卒中)治療の特長
当科の脳梗塞(脳卒中)治療の特長は以下の通りです
- 国内最大規模となる26床のSCU(脳卒中集中治療室)にて専門的な治療、ケアを実施しています
- 24時間365日、常に医師が常駐し、いつでも手術を含む緊急対応が可能な体制をとっています
- MSN(松戸脳卒中ネットワーク)の中核病院として地域の他施設や救急隊と連携をとった脳卒中対応を行っています
- 各種低侵襲治療(身体に優しい治療)を積極的に取り入れています
- 日本脳卒中学会より一次脳卒中センター(PSC)の認定を受けた施設です
お問い合わせ
患者様
当院脳神経外科外来にお越しください。
| 脳神経外科外来 | 月曜日~土曜日(祝日除く) |
|---|
現在、脳梗塞を疑う症状が出ている方はすぐに119番に電話して救急車を呼んでください!
他施設の方(患者様のご紹介ほか)
地域連携室までご連絡ください。
047-384-8564
月~金曜日 8:30-17:00/土曜日 8:30-12:30
この記事を書いた医師

熊井 潤一郎(くまい じゅんいちろう)
千葉西総合病院 副院長
脳神経外科主任部長




