膵がん
膵がんとは
膵がん(すいがん)とは膵臓に発生するがんのこと。特徴として初期症状がほとんどないため、手遅れの状態で発見されることが珍しくありません。膵がん全体での5年生存率は8%と予後の悪さが目立つがんです。消化液を運ぶ管である膵管で発生することがほとんどで、決してケースとして多くはありませんがIPMN(膵管内乳頭粘液性腫瘍)からがんになる場合もあります。IPMN自体は一般的な病気であるため注意が必要です。

症状
早期の段階では自覚症状はほぼありません。進行すると次のような症状が現れる方がいます。
代表的な症状
- おなかの鈍い痛み
- 黄疸(白目や皮膚が黄色味を帯びる、濃い色の尿が出る)
- 血糖値の上昇
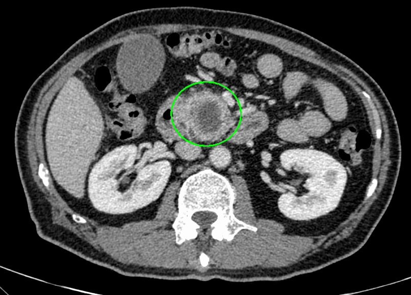
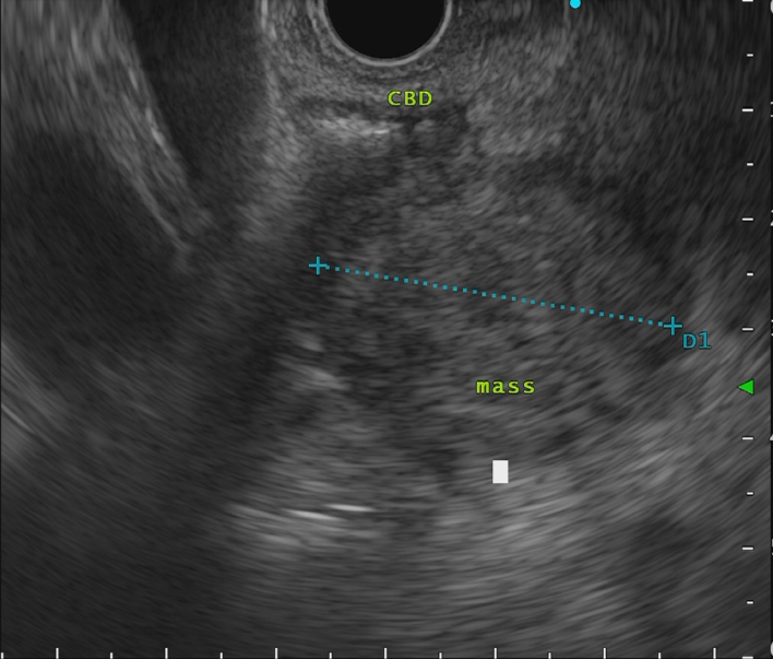
検査
膵がんの検査としては次のようなものがあります。
- 造影CT
- 超音波内視鏡
- 腫瘍マーカー(CA19-9)
- PET/CT検査
- MRI検査(MRCP)



治療
がんの切除が可能な場合は外科手術となります。さらに術前、術後の化学療法(抗がん剤治療)を実施する場合があります。
手術による切除
がんのある部位を切除して再建する手術です。がんが膵体部や膵尾部にある場合は「膵体尾部切除術」を、膵頭部にある場合は「膵頭十二指腸切除術」を行います。「膵体尾部切除術」は胸腔鏡手術が主流となっており、ロボット手術も行っています。がんの根治(がんをとりきる)を前提としたうえで、なるべく患者様の身体に負担が軽い手術が行われます。
膵体尾部切除術
術中画像(ダビンチ手術)
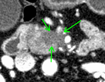
膵頭十二指腸切除術
術前シミュレーション画像(CT画像)
術前の検討
術中画像
化学療法
化学療法のみでの根治は難しく、次にあげる目的で実施されます。
- 術後補助化学療法:術後の再発を防ぐ目的で行います。
- 術前化学療法:手術でがんが取り切れる可能性を高める、微細な転移がんの縮小などを目的として行われます。
- 切除できない場合の化学療法:広がりが大きく手術ではがんをとりきることが難しい場合や再発がんに対して行います。
術前化学療法の治療例
治療前
治療後
放射線治療
- 放射線治療:がんが大きな血管や神経に食い込んでいるなどで、手術による切除が難しい場合に化学療法(細胞障害性抗がん薬による治療)と組み合わせて行われます。
- 緩和的放射線治療:がんによる痛みやがんからの出血、骨への転移を起こした場合の痛み、骨折の予防などを目的として行います。
当科の膵がん治療の特長
1.専門医によるチーム医療
がんセンター出身の経験豊富な医師がチームを組んで治療を担当しています。
2.専門資格保有医師による対応
日本肝胆膵外科学会認定高度技能専門医・指導医による診療を行います。
3.高度技能専門医 修練B 認定実績あり
日本肝胆膵外科学会より高度技能専門医修練施設Bの認定を受けた施設です。
4.ロボット支援手術
膵体尾部切除術では、多くの症例で体への負担が軽い腹腔鏡手術またはロボット支援手術(ロボット手術)にて治療を行っています。
5.難しい症例にも慎重かつ積極的に対応
当院は心臓病患者様の診療を数多く行っているため血液サラサラのお薬を飲んでいる方が数多くおいでです。また、ご高齢な方も多く、そうした患者様に対する手術の経験を豊富に有しています。施設によっては手術が難しいと判断される症例でも、慎重な検討を加えたうえで、できる限り積極的な治療を行っています。
担当医師

緒方 賢司 副院長・外科主任部長
日本外科学会 専門医・指導医
日本肝胆膵外科学会 高度技能指導医・評議員
日本消化器外科学会 専門医・指導医・消化器がん外科治療認定医
日本消化器内視鏡学会 専門医・指導医
日本胆道学会 指導医
日本緩和医療学会 指導者研修会修了者
日本がん治療認定医機構 認定医・教育医
日本DMAT隊員資格

森本 喜博 外科副部長
日本肝胆膵外科学会 高度技能専門医・評議員
日本外科学会 専門医
日本消化器外科学会 専門医・消化器がん外科治療認定医
日本消化器病学会 専門医
日本肝胆膵外科学会 評議員
日本がん治療認定医機構 認定医
日本腹部救急医学会 認定医
日本ロボット外科学会 Robo-Doc Pilot認定 国内B級
日本肝胆膵外科学会 ロボット支援肝部分切除及び外側区域切除プロクター
欧州内視鏡外科学会(EAES)会員

鈴木 文武 外科医師
日本外科学会 専門医・指導医
日本消化器外科学会 専門医・指導医・消化器がん外科治療認定医
日本肝胆膵外科学会 高度技能専門医

小林 亮介 外科医長
日本外科学会 専門医
日本肝胆膵外科学会 高度技能専門医・評議員
日本消化器外科学会 専門医・指導医・消化器がん外科治療認定医
日本消化器内視鏡学会 専門医・指導医
日本食道学会 食道科認定医
日本膵臓学会 指導医
日本内視鏡外科学会 技術認定証(消化器・一般外科)
日本がん治療認定医機構 認定医
お問い合わせ
患者様
当院外科外来にお越しください。
| 外科外来 | 月曜日~土曜日(祝日除く) |
|---|
他施設の方(患者様のご紹介ほか)
地域連携室までご連絡ください。
047-384-8564
月~金曜日 8:30-17:00/土曜日 8:30-12:30




