肝臓がん(肝細胞がん)
肝臓がん(肝細胞がん)とは
肝臓がん(かんぞうがん)は肝臓にできるがんの総称で、肝臓の主要な細胞である肝細胞ががん化する「肝細胞がん(かんさいぼうがん)」と、肝臓の中を通っている胆管ががん化する「肝内胆管がん(かんないたんかんがん)」の2種類に分類されます。
患者数では肝細胞がんの方が圧倒的に多く、一般的に「肝臓がん」という場合は「肝細胞がん」を指します。以下は肝細胞がんについてご説明します。

症状
肝臓は膵臓とならんで「沈黙の臓器」と称され、肝臓がんも初期症状がほとんどないという特徴があります。症状が出るのは病気が進行してからの場合がほとんどで、倦怠感、お腹や背中の痛み、黄疸、むくみ、腹水、体重減少などが発生します。
検査
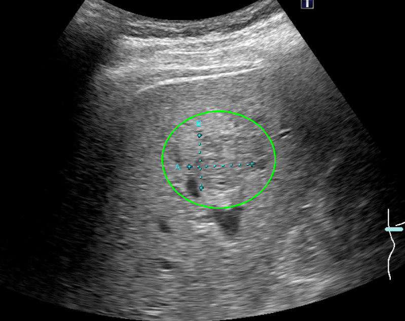
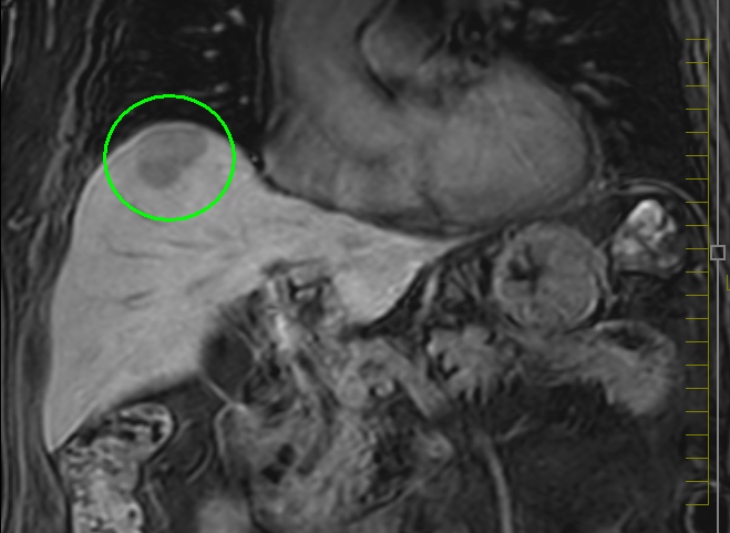
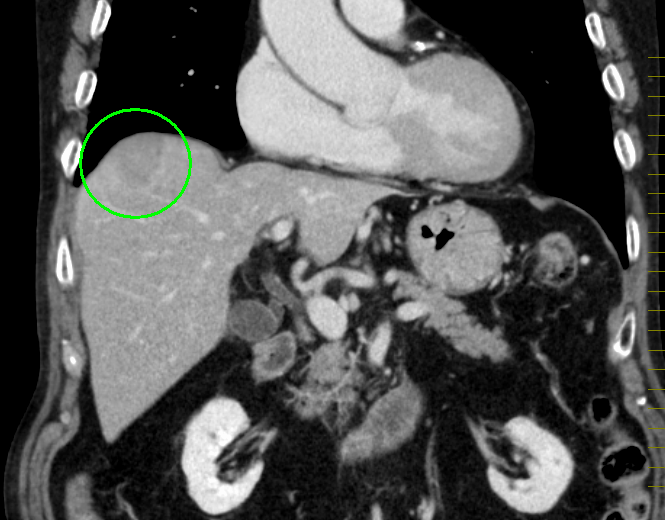
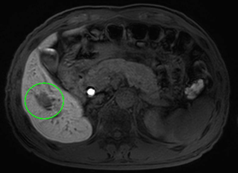
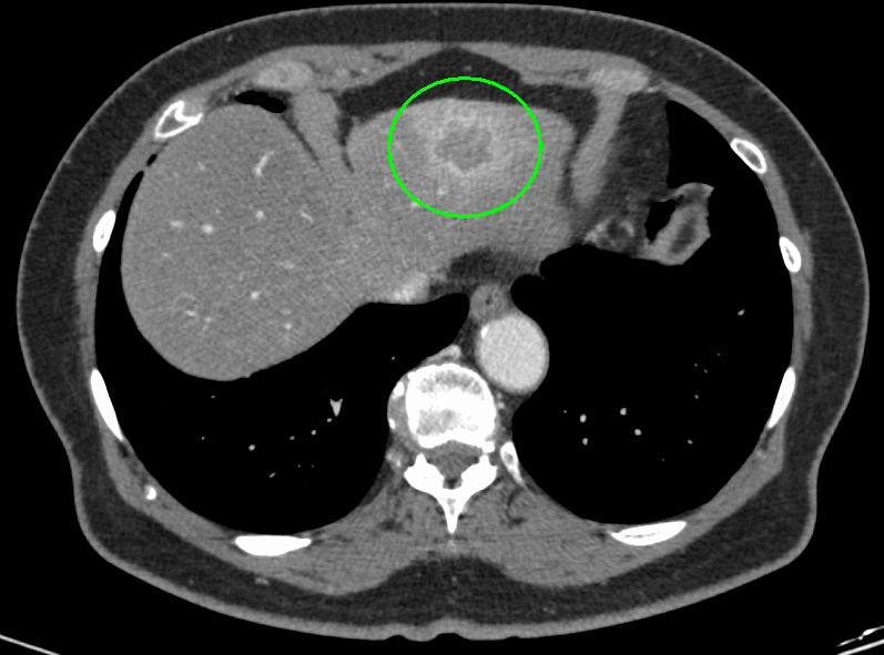
肝臓がんの検査としては、まず血液検査(肝機能検査、腫瘍マーカー検査)と超音波(エコー)検査を行います。必要により、CT検査もしくはMRI検査による画像検査も組み合わせて実施します。画像検査で良性/悪性の鑑別が難しい場合は、直接腫瘍組織を採取して調べる検査(針生検)を追加する場合もあります。
超音波検査画像

CT画像
MRI画像
治療
肝臓がんの多くは慢性肝炎・肝硬変を経過して発生することもあり、治療方針の決定には肝機能の状態とがんの進行度を表す病期(ステージ)をベースとして判断されます。さらにご本人の希望や全身の状態などを含めて、総合的な検討により最終的な選択を行います。
肝切除術
がんとその周りの組織を手術によって切除します。腹腔鏡手術が主流となっています。昨今では、手術支援ロボットを使用するロボット支援下手術(ロボット手術)も実施されています。最も根治的(治療効果が高い)な治療といえます。がんの状態、個数や切除後に肝機能をどれだけ残せるかなど、実施にあたっての条件があります。
手術支援ロボット Davinci Xi(ダヴィンチXi)

術中画像
術前3Dシミュレーション
肝臓内は血管や胆管が複雑に入り組んでいます。当院では、それらと腫瘍との位置関係を正確に把握するために術前に3D画像を作成し詳細な検討を加えています。これにより安全な切除範囲の判断や手術時間の短縮を図るとともに、重要な血管の損傷を回避し出血量を低減化するなど、安全で質の高い手術を提供しています。


ICG(インドシアニングリーン)蛍光法
当院ではICG(インドシアニングリーン)と呼ばれる特殊な薬剤を使用する手術を実施しています。ICGは血液中のタンパク質と結合する性質があり、特別なカメラを通して見ると緑色に光ります。肉眼では見えにくい情報を可視化することで、より正確に腫瘍やリンパ節の位置または範囲を確認し、精緻で確実な手術を実施しています。これにより合併症リスクの低減や、一層の低侵襲化を図っています。
ICGによる蛍光発色の様子
ラジオ波焼灼療法(RFA)
体外からがんの部位に直接刺した特殊な針に、ラジオ波と呼ばれる電流を通電して焼灼する(焼いて壊死させる)治療法です。手術に比べると侵襲が少なく、繰り返しの治療が可能という特徴があります。
治療イメージ

肝動脈化学塞栓療法(TACE)
血管内にカテーテルと呼ばれる細い管を挿入し、肝臓まで進めます。その後、がんがある部位に繋がる肝動脈を塞栓(詰まらせる)ことで血流を減らし、がん細胞の増殖を阻害します。塞栓を行う前には抗がん剤を注入します。がん以外の正常な細胞への影響が少なく、低侵襲な治療と言えます。


化学療法
標準治療として分子標的薬や免疫チェックポイント阻害薬による治療が行われます。肝切除や肝移植、ラジオ波焼灼療法、肝動脈化学塞栓療法(TACE)などが行えない進行性の肝細胞がんが対象となります。
当科の肝臓がん治療の特長
1.専門医によるチーム医療
がんセンター出身の経験豊富な医師がチームを組んで治療を担当しています。
2.専門資格保有医師による対応
日本肝胆膵外科学会認定高度技能専門医・指導医による診療を行います。
3.高度技能専門医 修練B 認定実績あり
日本肝胆膵外科学会より高度技能専門医修練施設Bの認定を受けた施設です。
4.ロボット支援手術
多くの症例で体への負担が軽い腹腔鏡手術またはロボット支援手術(ロボット手術)にて治療を行っています。
5.難しい症例にも慎重かつ積極的に対応
当院は心臓病患者様の診療を数多く行っているため血液サラサラのお薬を飲んでいる方が数多くおいでです。また、ご高齢な方も多く、そうした患者様に対する手術の経験を豊富に有しています。施設によっては手術が難しいと判断される症例でも、慎重な検討を加えたうえで、できる限り積極的な治療を行っています。
担当医師

緒方 賢司 副院長・外科主任部長
日本外科学会 専門医・指導医
日本肝胆膵外科学会 高度技能指導医・評議員
日本消化器外科学会 専門医・指導医・消化器がん外科治療認定医
日本消化器内視鏡学会 専門医・指導医
日本胆道学会 指導医
日本緩和医療学会 指導者研修会修了者
日本がん治療認定医機構 認定医・教育医
日本DMAT隊員資格

森本 喜博 外科副部長
日本肝胆膵外科学会 高度技能専門医・評議員
日本外科学会 専門医
日本消化器外科学会 専門医・消化器がん外科治療認定医
日本消化器病学会 専門医
日本肝胆膵外科学会 評議員
日本がん治療認定医機構 認定医
日本腹部救急医学会 認定医
日本ロボット外科学会 Robo-Doc Pilot認定 国内B級
日本肝胆膵外科学会 ロボット支援肝部分切除及び外側区域切除プロクター
欧州内視鏡外科学会(EAES)会員

鈴木 文武 外科医師
日本外科学会 専門医・指導医
日本消化器外科学会 専門医・指導医・消化器がん外科治療認定医
日本肝胆膵外科学会 高度技能専門医

小林 亮介 外科医長
日本外科学会 専門医
日本肝胆膵外科学会 高度技能専門医・評議員
日本消化器外科学会 専門医・指導医・消化器がん外科治療認定医
日本消化器内視鏡学会 専門医・指導医
日本食道学会 食道科認定医
日本膵臓学会 指導医
日本内視鏡外科学会 技術認定証(消化器・一般外科)
日本がん治療認定医機構 認定医
お問い合わせ
患者様
当院外科外来にお越しください。
| 外科外来 | 月曜日~土曜日(祝日除く) |
|---|
他施設の方(患者様のご紹介ほか)
地域連携室までご連絡ください。
047-384-8564
月~金曜日 8:30-17:00/土曜日 8:30-12:30




